
ساعت کاری
همه روزه از ساعت 11 الی 20
026-34293881
با ما تماس بگیرید
026-34293884
با ما تماس بگیرید
کرج خیابان شهید بهشتی
نبش کسری برج ولیعهدی طبقه 4
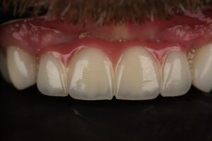
اگر به دنبال ایمپلنت دندان با بالاترین کیفیت در کرج هستید، کلینیک تخصصی دکتر محمد قاسمی انتخابی اطمینانبخش برای شماست. ما در این مرکز، ایمپلنت دندان را با بهرهگیری از تجهیزات دیجیتال پیشرفته، مواد درجهیک و تجربهی بالای تیم درمانی ارائه میدهیم؛ تا لبخندی زیبا، پایدار و بدون دردسر را برای شما تضمین کنیم.
با کمک اسکن سهبعدی (CBCT) و نرمافزارهای تخصصی، قبل از جراحی، موقعیت دقیق ایمپلنت را شبیهسازی میکنیم. این کار باعث افزایش دقت، کاهش ریسک و حداقلسازی درد و تورم پس از درمان میشود.
ایمپلنتهایی که در این مرکز استفاده میشوند، ساخت شرکتهای معتبر آلمانی، سوئیسی و کرهای هستند که طول عمر بالا، درصد موفقیت بیش از ۹۸٪ و زیبایی طبیعی دارند.
دکتر محمد قاسمی با بیش از ۱۵ سال سابقه در زمینه ایمپلنتولوژی، درمانهای شما را بهصورت اختصاصی و با رویکرد حفظ استخوان و زیبایی لبخند انجام میدهد.
قبل از انجام ایمپلنت، فرم صورت، وضعیت فک و دندانهای مجاور شما بررسی میشود تا نتیجهای هماهنگ، طبیعی و زیبا بهدست آید. زیبایی نهایی لبخند برای ما به اندازه عملکرد ایمپلنت اهمیت دارد.
ایمپلنت بهترین گزینه برای افرادی است که یک یا چند دندان از دستدادهاند و میخواهند بدون آسیب به دندانهای دیگر، لبخند خود را بازسازی کنند. در کلینیک دکتر قاسمی، حتی بیماران با تحلیل استخوان فک، با استفاده از تکنیکهای مدرن پیوند استخوان و لیفت سینوس، میتوانند کاندید ایمپلنت شوند.
دوام و طول عمر بیشتر (بیش از ۲۰ سال)
ظاهر کاملاً طبیعی و هماهنگ با دندانهای مجاور
احتمال عفونت و شکست بسیار کمتر
بدون نیاز به تعویض مکرر روکش
حس راحتی کامل هنگام غذا خوردن و صحبت کردن
ایمپلنت دندان به طور کلی در چند مرحله انجام میشود و ممکن است چند ماه طول بکشد تا این فرآیند کامل شود:
مدت زمان این روش بسته به وضعیت بیمار متفاوت است. اما معمولاً بین ۳ تا ۹ ماه طول میکشد که تمامی مراحل به طور کامل انجام شود.
کرج به عنوان یکی از شهرهای پیشرو در خدمات پزشکی و دندانپزشکی، امکانات پیشرفتهای برای انجام ایمپلنت دندان فراهم کرده است. دکتر محمد قاسمی یکی از بهترین متخصصان این حوزه است که با تجربهای بالا و استفاده از تجهیزات مدرن، خدماتی بینظیر ارائه میدهد.
برای اطمینان از دوام و موفقیت ایمپلنت، رعایت نکات زیر ضروری است:
هزینه ایمپلنت دندان در کرج به عوامل مختلفی بستگی دارد، از جمله:
بعضی کلینیکها گزینههای پرداخت اقساطی یا طرحهای تخفیفی ارائه میدهند. در جلسه مشاوره، دکتر قاسمی میتواند اطلاعات کاملی درباره هزینهها و شرایط پرداخت ارائه دهد.
اگر به دنبال بهترین خدمات ایمپلنت دندان در کرج هستید، دکتر محمد قاسمی گزینهای ایدهآل برای شماست. با سالها تجربه در این زمینه و استفاده از تکنیکهای پیشرفته، ایشان توانستهاند رضایت بسیاری از بیماران را جلب کنند.
برای رزرو وقت مشاوره، میتوانید به صفحه نوبتدهی آنلاین مراجعه کرده یا با کلینیک تماس بگیرید. این اولین قدم برای بازگرداندن زیبایی و عملکرد دندانهای شماست.
برای انجام ایمپلنت دندان در کرج می توانید به مطب دکتر محمد قاسمی جراح دندانپزشک و متخصص زیبایی در کرج مراجعه فرمایید
ایمپلنت های دندانی مانند دندان های طبیعی عمل می کنند
یکی از بزرگترین مزایای ایمپلنت این است که قدرت جویدن را به طور کامل باز می گرداند. اکثر بیماران نمی توانند تفاوتی را بین دندان طبیعی خود و دندان ایمپلنت متوجه شوند . آنها می توانند به طور کاملاً عادی با آن غذا بخورند و همچنین می توانند به طور معمول مسواک بزنند و نخ دندان بکشند.
ایمپلنت های دندانی می توانند تا آخر عمر دوام بیاورند
در حالی که یک یک بریج دندان یا دندان مصنوعی ممکن است تنها حدود 10 سال یا بیشتر دوام بیاورد، ایمپلنت های دندانی می توانند یک عمر دوام بیاورند. این ایمپلنت از تیتانیوم ساخته شده و با استخوان فک ادغام می شود. زیست سازگار است، به این معنی که غیر سمی است و توسط بدن دفع نمی شود. در مجموع یک دندان جایگزین قدرتمند می سازد.
ایمپلنت های دندانی از تحلیل استخوان جلوگیری می کنند
زمانی که دندانی کشیده می شود فک در آن ناحیه به مرور تحلیل می رود. از دست دادن استخوان در فک زمانی رخ می دهد که هیچ ریشه دندان (یا ایمپلنت) وجود نداشته باشد که استخوان فک را تحریک کند.
در جایی که دندان وجود ندارد، استخوان فک در فضای خالی به دلیل عدم تحریک به مرور دچار تحلیل می شود
. اگر در سال اول از دست دادن دندان هیچ ایمپلنتی قرار نگیرد، آن ناحیه استخوان 25 درصد حجم خود را از دست می دهد و از دست دادن استخوان در طول سال ها ادامه می یابد.
پروتزهای مصنوعی حتی می توانند از دست دادن استخوان را تسریع کنند زیرا اغلب شل می شوند و سپس به برجستگی استخوانی برخورد کرده و به تدریج آن را از بین می برند. از آنجایی که ایمپلنت جایگزین ریشه و همچنین دندان می شود و جویدن به حالت عادی باز می گردد، تحریک لازم برای رشد طبیعی استخوان را فراهم می کند.
ایمپلنت های دندانی دندان های مجاور را ثابت نگه می دارند
شکاف دندان از دست رفته می تواند باعث شود که دندان های مجاور به صورت کج به سمت شکاف جابجا شوند. این کار دندانهای شما را از موقعیت خارج میکند و میتواند روی گاز گرفتن، توانایی جویدن و ظاهر شما تأثیر بگذارد.
ایمپلنت های دندانی می توانند به شما کمک کنند تا از بیماری لثه خلاص شوید
شکاف دندان از دست رفته می تواند به عنوان یک تله برای غذا و باکتری عمل کند و منجر به بیماری لثه شود.
ایمپلنت های دندانی می توانند از افتادگی صورت و پیری زودرس جلوگیری کنند
افتادگی صورت می تواند یک اثر ناخواسته از دست دادن استخوان ناشی از از دست دادن دندان باشد. اینجاست که یک سوم پایینی صورت شروع به جمع شدن می کند و به تدریج فاصله بین نوک بینی و چانه بسته می شود. تغییرات می تواند شامل چین و چروک های بیش از حد اطراف دهان، نازک شدن لب ها و چانه نوک تیزتر باشد که باعث می شود فرد بسیار مسن تر از سن واقعی خود به نظر برسد.
برخی از افراد پس از کاشت ایمپلنت دچار عوارض جانبی همچون خونریزی، عفونت، ورم و کبودی کوتاه مدت پس از کاشت می شوند که آنها را آزار می دهد، اما این عوارض معمولاً پس از مدت کوتاهی از بین می روند.
باد توجه داشت که این عوارض به ندرت می توانند جدی باشند.
یکی دیگر از عوارض شایع ایمپلنت های دهان عفونت است. محل کاشت ممکن است ملتهب و عفونی شود و باعث درد و حتی تب شود. عفونت ها مدت کوتاهی پس از انجام جراحی ایمپلنت ایجاد می شوند. حتماً دستورالعملهای جراح دهان خود را در مورد تمیز نگه داشتن ناحیه پس از عمل دنبال کنید و در صورت مشاهده علائم عفونت فوراً با ما تماس بگیرید.
اکثر ایمپلنت ها از آلیاژ تیتانیوم ساخته شده اند. اگر چه این مورد بسیار نادر است اما برخی از بیماران ممکن است حساسیت ناشناخته ای به تیتانیوم یا فلز دیگری داشته باشند.
علائم واکنش آلرژیک شامل تغییر طعم، گزگز، التهاب یا تورم در ناحیه است. اگر آلرژی به آلیاژ تیتانیوم دارید، می توان از مواد جایگزین استفاده کرد.
ایمپلنت شما به سادگی نیاز به تعویض دارد. اگر فکر می کنید ممکن است واکنش آلرژیک به ایمپلنت خود را تجربه کنید، با جراح دهان خود تماس بگیرید.
برای مشاهده باید ها و نباید ها و مراقبت های بعد از ایمپلنت دندان می توانید به این مقاله مراجعه نمائید.
ما در کلینیک دندانپزشکی زیبایی دکتر محمد قاسمی، با سالها تجربه در امر دندانپزشکی زیبایی در کرج آماده ارایه مشاوره در مورد انواع ایمپلنت، مزایا و معایب آن برای بیماران عزیز می باشیم.
جهت دریافت نوبت مشاوره می توانید از طریق فرم ذیل برای دریافت نوبت مشاوره اقدام فرمایید.
1. ایمپلنت دندان دقیقاً چیست و چه کاربردی دارد؟
ایمپلنت دندان نوعی پایه تیتانیومی است که بهجای ریشه دندان ازدسترفته در استخوان فک قرار میگیرد و سپس تاج مصنوعی دندان روی آن نصب میشود.
2. ایمپلنت دندان در کلینیک دکتر قاسمی کرج چه تفاوتی با مراکز دیگر دارد؟
در این کلینیک از تکنولوژی تصویربرداری سهبعدی، برندهای معتبر جهانی و طراحی دیجیتال برای کاشت دقیقتر ایمپلنت استفاده میشود که باعث افزایش دوام، زیبایی و راحتی آن میگردد.
3. آیا ایمپلنت دندان درد دارد؟
خیر، با استفاده از بیحسی موضعی یا در صورت نیاز بیهوشی کوتاهمدت، فرایند ایمپلنت تقریباً بدون درد انجام میشود. همچنین پس از درمان، با مراقبت صحیح، درد قابل کنترل و موقت خواهد بود.
4. عمر ایمپلنت دندان چقدر است؟
در صورت رعایت بهداشت دهان و مراجعه منظم به دندانپزشک، ایمپلنت میتواند تا ۲۰ سال یا حتی بیشتر عمر کند.
5. آیا ایمپلنت برای همه افراد مناسب است؟
بیشتر افراد میتوانند ایمپلنت انجام دهند. تنها موارد خاصی مانند تحلیل شدید استخوان یا بیماریهای خاص نیاز به بررسی تخصصی دارند.
6. ایمپلنت بهتر است یا بریج دندان؟
ایمپلنت بدون آسیب به دندانهای کناری نصب میشود و از نظر دوام، زیبایی و عملکرد، نسبت به بریج برتری دارد.
7. مراحل انجام ایمپلنت دندان چگونه است؟
مراحل شامل مشاوره، تصویربرداری سهبعدی، کاشت پایه ایمپلنت، دوره ترمیم استخوان، و نصب روکش نهایی است. در برخی موارد، ایمپلنت فوری نیز قابل انجام است.
8. چه نوع ایمپلنتهایی در این مرکز استفاده میشود؟
ایمپلنتهای معتبر آلمانی، کرهای و سوئیسی با تاییدیههای بینالمللی، بسته به شرایط بیمار انتخاب میشوند.
9. ایمپلنت فوری چیست و آیا در کرج انجام میشود؟
ایمپلنت فوری به کاشت پایه و نصب روکش در یک روز گفته میشود. بله، در کلینیک دکتر قاسمی و در شرایط مناسب فک بیمار، این روش قابل انجام است.
10. آیا ظاهر ایمپلنت طبیعی است؟
کاملاً بله. روکشهای نهایی به گونهای طراحی میشوند که با رنگ، شکل و اندازه دندانهای طبیعی هماهنگ باشند.
11. چقدر طول میکشد تا ایمپلنت کامل شود؟
بسته به وضعیت استخوان فک، بین ۲ تا ۴ ماه زمان برای جوش خوردن پایه ایمپلنت با استخوان نیاز است. در ایمپلنت فوری، این زمان بسیار کوتاهتر است.
12. آیا امکان اقساط برای ایمپلنت وجود دارد؟
بله. در این کلینیک شرایط پرداخت اقساطی برای بیماران فراهم است تا دغدغه مالی مانع درمان نشود.
13. چه مراقبتهایی بعد از ایمپلنت لازم است؟
رعایت بهداشت دهان، پرهیز از فشار زیاد روی ایمپلنت در هفتههای اول، استفاده از دهانشویه، و مراجعات منظم برای چکاپ.
14. آیا بعد از ایمپلنت میتوان غذاهای سفت خورد؟
بله، پس از ترمیم کامل استخوان و نصب روکش دائمی، ایمپلنت عملکردی مشابه دندان طبیعی دارد و محدودیتی در غذا خوردن وجود ندارد.
15. چگونه برای مشاوره ایمپلنت در کرج نوبت بگیریم؟
شما میتوانید با تماس با شمارههای کلینیک یا مراجعه حضوری به آدرس درجشده در سایت، برای مشاوره رایگان و تخصصی وقت رزرو کنید.