ساعت کاری
همه روزه از ساعت 11 الی 20
026-34293881
با ما تماس بگیرید
026-34293884
با ما تماس بگیرید
کرج خیابان شهید بهشتی
نبش کسری برج ولیعهدی طبقه 4
تمام خدمات درمانی در کلینیک ما مطابق با استانداردهای روز و در محیطی آرام ودوست داشتنی انجام میشود
پاسخ به برخی از مهمترین پرسش های بیماران
این کلینیک در کرج خدمات تخصصی و عمومی دندانپزشکی شامل ایمپلنت دیجیتال، ایمپلنت، لمینت دندان، کامپوزیت دندان، درمان ریشه، روکش دندان و خدمات زیبایی و ترمیمی را با بهرهگیری از جدیدترین روشهای علمی ارائه میدهد.
مراجعین میتوانند از طریق تماس تلفنی با کلینیک یا تکمیل فرم رزرو نوبت آنلاین در وبسایت، وقت ملاقات خود را بهراحتی ثبت کنند.
کلینیک دکتر محمد قاسمی همه روزه (بهجز تعطیلات رسمی) از ساعت ۱۰ صبح تا ۸ شب آماده پذیرش بیماران است. برای شرایط خاص، امکان هماهنگی وقت خارج از این ساعات نیز وجود دارد.
استفاده از تجهیزات مدرن، رعایت کامل اصول استریلیزاسیون، حضور تیم مجرب دندانپزشکان، ارائه خدمات زیبایی مطابق با استانداردهای روز دنیا و توجه ویژه به راحتی و رضایت بیماران، از مهمترین مزایای کلینیک است.
همین حالا برای مشاوره خود برنامه ریزی کنید
کلینیک تخصصی دندانپزشکی زیبایی دکتر محمد قاسمی متخصص در کرج در محیطی مدرن با تجهیزات تخصصی ، برای ارائه خدمات درمانی جامع دندانپزشکی و زیبایی به شما عزیزان می باشد.

تفاوت لمینت سرامیکی و کامپوزیتی در کرج یکی از مهمترین پرسشهایی است که بیماران هنگام مشاوره برای اصلاح طرح لبخند مطرح میکنند. بسیاری از افراد

زیبایی لبخند، بخش مهمی از اعتماد به نفس ماست. بسیاری از افراد بهدنبال راهکاری برای اصلاح رنگ، شکل و فرم دندانهای خود هستند، بدون اینکه

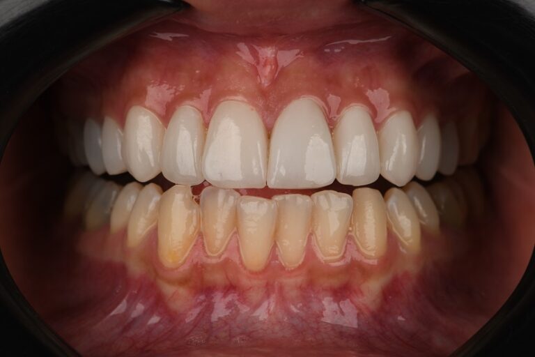
لمینت دندان یکی از محبوبترین روشهای دندانپزشکی زیبایی است که برای بهبود ظاهر دندانها و طراحی لبخندی زیبا استفاده میشود. لمینت، لایهای نازک از مواد