برای شما لبخندی منحصر به فرد می سازیم | We make a unique smile for

ساعت کاری

همه روزه از ساعت 11 الی 20

026-34293881

با ما تماس بگیرید

026-34293884

با ما تماس بگیرید

کرج خیابان شهید بهشتی

نبش کسری برج ولیعهدی طبقه 4

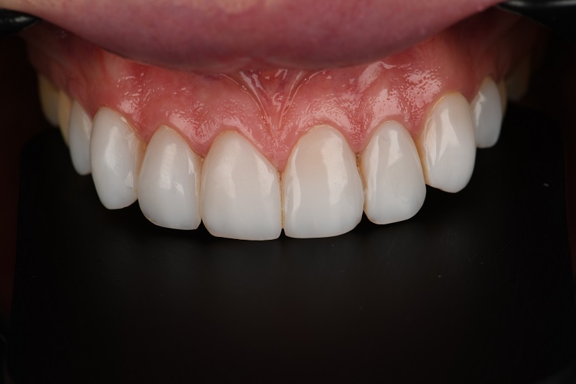
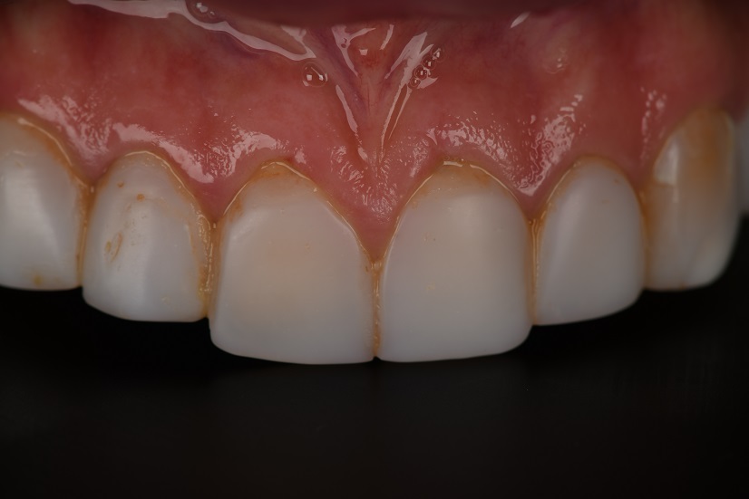
کامپوزیت-14011242

یکی از مراجعین عزیز ما با کامپوزیت‌های قدیمی و تغییر رنگ‌یافته مراجعه کردند که علاوه بر کاهش زیبایی لبخند، نیاز به ترمیم و به‌روزرسانی داشت.

در گام اول، کامپوزیت‌های قدیمی با دقت و بدون آسیب به بافت دندان برداشته شدند. پس از بررسی وضعیت دندان‌ها، مراحل طراحی لبخند و انتخاب رنگ مناسب برای کامپوزیت‌های جدید انجام شد.

با استفاده از مواد کامپوزیتی باکیفیت و تکنیک‌های پیشرفته، ۸ واحد کامپوزیت جدید با هدف افزایش زیبایی و طبیعی‌تر به نظر رسیدن لبخند بیمار اجرا شد. نتیجه نهایی، لبخندی درخشان و طبیعی است که رضایت کامل بیمار را به همراه داشت.

ویژگی‌های این درمان:

  • استفاده از مواد کامپوزیتی با ماندگاری بالا
  • طراحی لبخند با رعایت تناسب چهره
  • انجام درمان در کوتاه‌ترین زمان ممکن

اگر شما هم قصد دارید لبخند خود را بازسازی کنید و از نتایج طبیعی و زیبا بهره‌مند شوید، با ما تماس بگیرید و از خدمات حرفه‌ای ما بهره‌مند شوید.

قبل درمان

بعد درمان