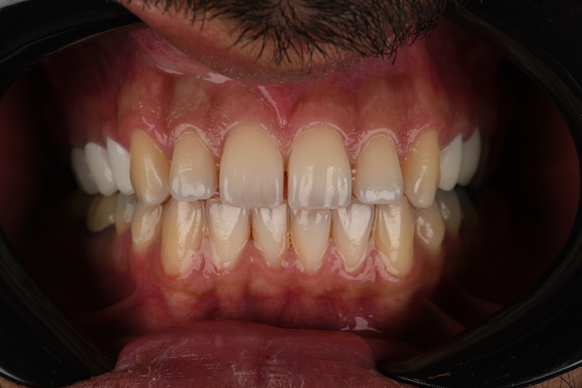
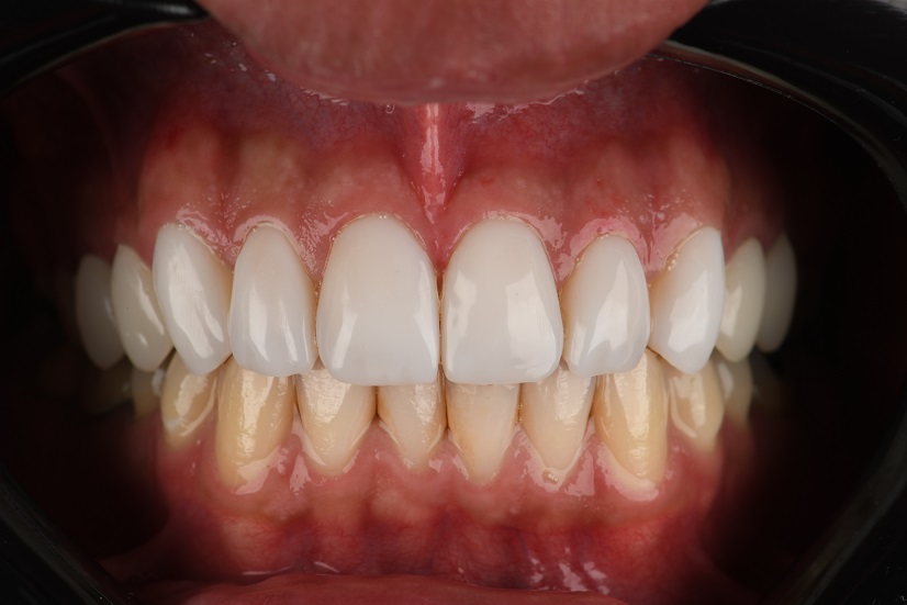
در این نمونه کار، احیای کامل خط لبخند با استفاده از ۱۰ واحد کامپوزیت دندان به روش تخصصی لایرینگ تکنیک (Layering Technique) انجام شده است. این تکنیک با بهرهگیری از لایهگذاری دقیق و چندمرحلهای کامپوزیت، امکان بازسازی طبیعیتر فرم، رنگ و شفافیت دندانها را فراهم میکند. نتیجه نهایی، لبخندی زیبا، هماهنگ و کاملاً طبیعی است که علاوه بر افزایش جذابیت چهره، اعتماد بهنفس بیمار را نیز بهطور چشمگیری ارتقاء میدهد.