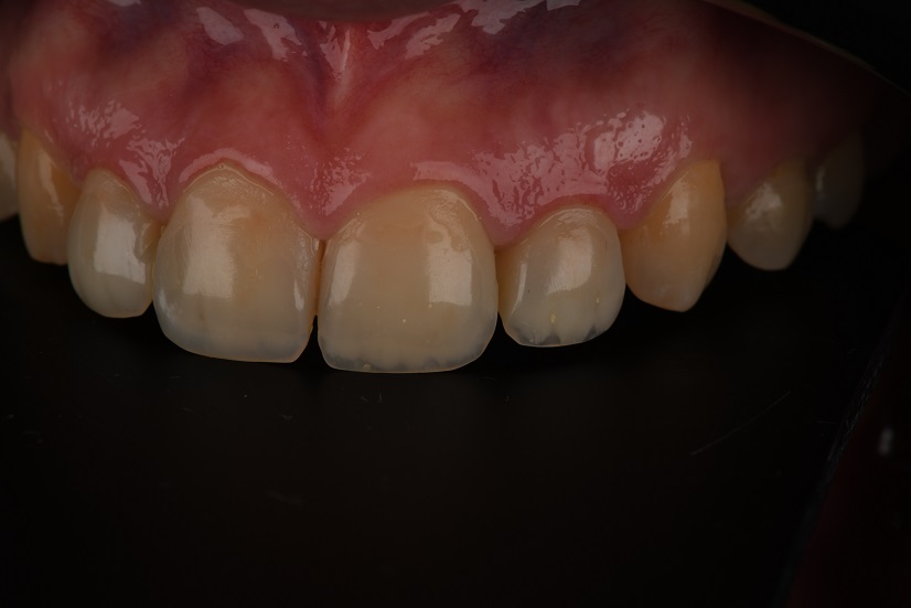
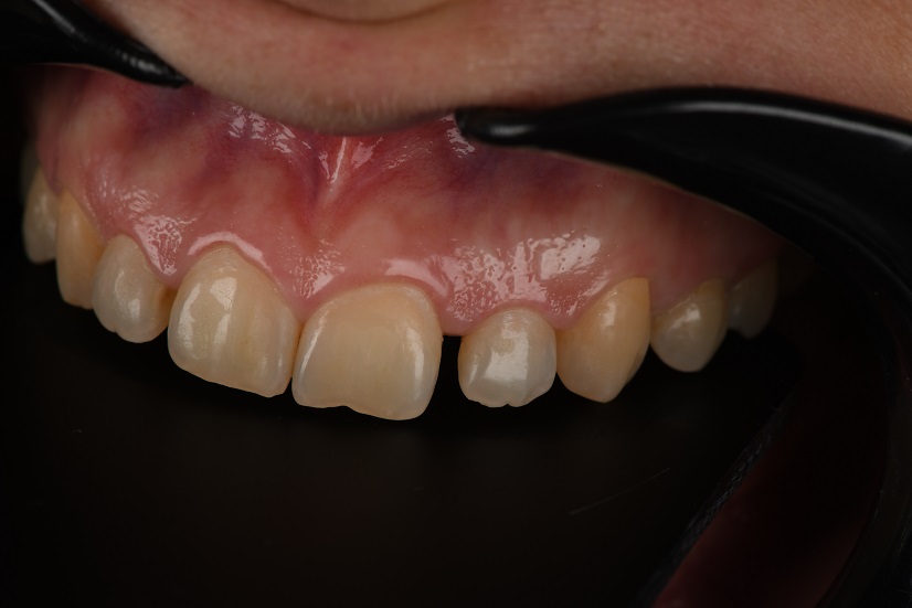
در این نمونه درمان، 4 واحد کامپوزیت دندانهای قدامی با هدف بازسازی ظاهر طبیعی و زیبا انجام شد. رنگ کامپوزیت به گونهای انتخاب شد که با دندانهای طبیعی بیمار همخوانی کامل داشته باشد.
ابتدا سطح دندانها به دقت تمیز و آمادهسازی شد تا کامپوزیت به صورت ایدهآل به دندان بچسبد. سپس لایهگذاری کامپوزیت با دقت بالا و با استفاده از تکنیکهای پیشرفته انجام گرفت تا نتیجهای ماندگار و طبیعی حاصل شود. در پایان، با پرداخت و پولیش، سطح کامپوزیتها به شفافیت و براقی مطلوب رسید.
نتیجه نهایی این درمان، دندانهایی زیبا، یکدست و طبیعی بود که رضایت کامل بیمار را به همراه داشت. این روش مناسب افرادی است که به دنبال اصلاح زیبایی دندانهای جلویی خود با کمترین تهاجم هستند.