ساعت کاری
همه روزه از ساعت 11 الی 20
026-34293881
با ما تماس بگیرید
026-34293884
با ما تماس بگیرید
کرج خیابان شهید بهشتی
نبش کسری برج ولیعهدی طبقه 4
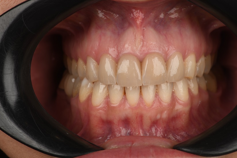
در این نمونه، چهار واحد لمینت سرامیکی به رنگ طبیعی و هماهنگ با سایر دندانها برای بازسازی خط لبخند بیمار در فک بالا انجام شده است. طراحی و اجرای این لمینتها با دقت بالا و براساس آناتومی صورت بیمار انجام شده تا لبخندی طبیعی، زیبا و متناسب ایجاد شود. این نمونه یکی از صدها درمان موفق در زمینه لمینت در کرج در کلینیک دکتر محمد قاسمی است که با بهرهگیری از جدیدترین تکنولوژیها و متریالهای باکیفیت انجام شده است.



