برای شما لبخندی منحصر به فرد می سازیم | We make a unique smile for

ساعت کاری

همه روزه از ساعت 11 الی 20

026-34293881

با ما تماس بگیرید

026-34293884

با ما تماس بگیرید

کرج خیابان شهید بهشتی

نبش کسری برج ولیعهدی طبقه 4

لمینیت-14021238

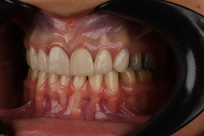
یکی از بیماران ما با لمینیت‌های قدیمی و فرسوده مراجعه کردند که ظاهر طبیعی و کیفیت اولیه خود را از دست داده بود. پس از مشاوره و بررسی دقیق، تصمیم به برداشتن لمینیت‌های قبلی و جایگزینی آن‌ها با 8 واحد لمینیت سرامیکی به رنگ طبیعی گرفتیم.

در ابتدا، لمینیت‌های قدیمی به دقت و بدون آسیب به دندان‌های طبیعی بیمار برداشته شد. سپس، با استفاده از تکنیک‌های پیشرفته و مواد باکیفیت، لمینیت‌های جدید طراحی و روی دندان‌های بیمار نصب شدند.

نتیجه نهایی دندان‌هایی با ظاهری زیبا، طبیعی و هماهنگ بود که رضایت کامل بیمار را به همراه داشت. این درمان نه تنها به بهبود ظاهر لبخند بیمار کمک کرد، بلکه استحکام و دوام بیشتری را برای دندان‌ها فراهم نمود.

اگر شما نیز به دنبال لبخندی جذاب و طبیعی هستید، ما آماده‌ایم تا بهترین خدمات دندانپزشکی زیبایی را به شما ارائه دهیم.

قبل درمان

بعد درمان