ساعت کاری
همه روزه از ساعت 11 الی 20
026-34293881
با ما تماس بگیرید
026-34293884
با ما تماس بگیرید
کرج خیابان شهید بهشتی
نبش کسری برج ولیعهدی طبقه 4
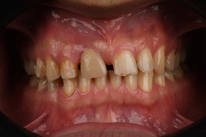
در این درمان ترکیبی، بیمار جهت بازسازی لبخند خود به مطب مراجعه کرد. پس از بررسیهای لازم، تصمیم بر کاشت یک واحد ایمپلنت و استفاده از ۱۲ واحد لمینیت و روکش ایمپلنت برای ایجاد یک لبخند طبیعی و هماهنگ با رنگ دلخواه بیمار گرفته شد.
مراحل درمان:
مشاوره و برنامهریزی درمان:
با انجام معاینات دقیق و تهیه تصاویر تخصصی، وضعیت فک و دندانهای بیمار بررسی و طرح درمان مطابق نیازها و انتظارات بیمار تدوین شد.
کاشت ایمپلنت:
ایمپلنت دندانی با استفاده از تکنیکهای پیشرفته کاشته شد. پس از طی شدن دوره بهبودی، ایمپلنت آماده دریافت روکش شد.
طراحی و ساخت لمینیتها و روکش ایمپلنت:
با در نظر گرفتن سلیقه بیمار، لمینیتها و روکش ایمپلنت در لابراتوارهای تخصصی طراحی و ساخته شدند. تمامی مواد به گونهای انتخاب شدند که ضمن ایجاد زیبایی مطلوب، دوام و کارایی بالایی نیز داشته باشند.
نصب و تنظیم:
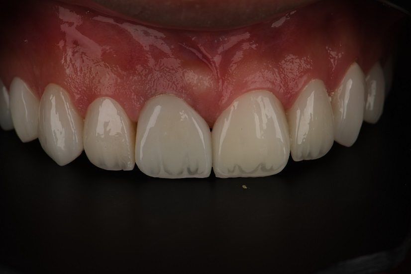
در مرحله پایانی، لمینیتها و روکش ایمپلنت با دقت نصب شدند تا هماهنگی کامل در لبخند بیمار ایجاد شود. تنظیمات لازم برای راحتی و عملکرد بهینه انجام شد.
نتیجه نهایی:
این درمان ترکیبی توانست لبخندی زیبا و طبیعی را برای بیمار به ارمغان بیاورد، در حالی که عملکرد دندانها نیز به طور کامل بازسازی شد.



