ساعت کاری
همه روزه از ساعت 11 الی 20
026-34293881
با ما تماس بگیرید
026-34293884
با ما تماس بگیرید
کرج خیابان شهید بهشتی
نبش کسری برج ولیعهدی طبقه 4
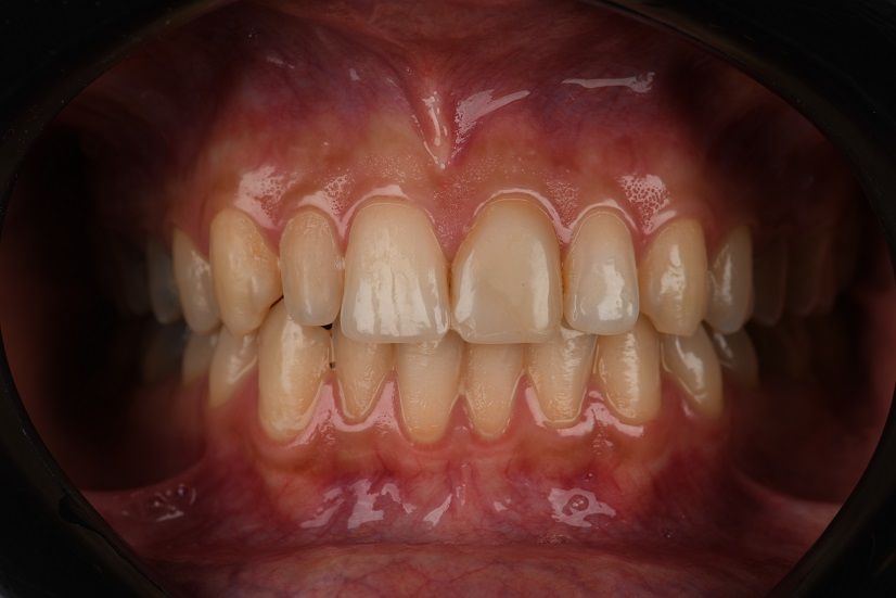
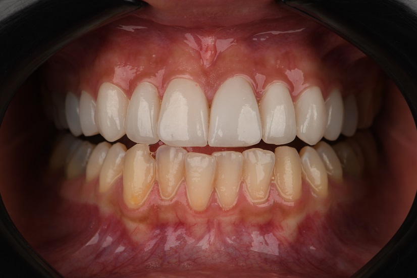
در این نمونه کار، بازسازی کامل خط لبخند با استفاده از ۱۰ واحد لمینیت سرامیکی ایمکس انجام شده است. با بهرهگیری از تکنولوژیهای روز و طراحی دقیق فرم دندانها متناسب با آناتومی صورت بیمار، لبخندی طبیعی، درخشان و هماهنگ ایجاد شده است. لمینیتهای EMAX به دلیل شفافیت بالا، استحکام فوقالعاده و ظاهر بسیار طبیعی، انتخابی ایدهآل برای اصلاح فرم، رنگ و ناهمواریهای دندانی در بازسازی لبخند محسوب میشوند.



