ساعت کاری
همه روزه از ساعت 11 الی 20
026-34293881
با ما تماس بگیرید
026-34293884
با ما تماس بگیرید
کرج خیابان شهید بهشتی
نبش کسری برج ولیعهدی طبقه 4
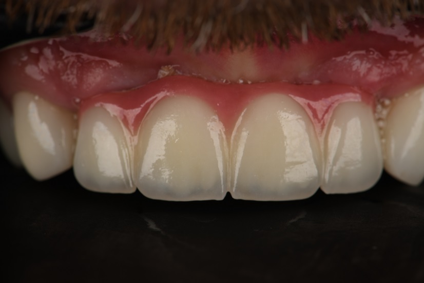
درمانهای ترکیبی در دندانپزشکی، رویکردی جامع برای بازگرداندن زیبایی و عملکرد طبیعی به دهان و دندانها هستند. یکی از این روشها، درمان ترکیبی ایمپلنت، لمینیت و روکش ایمپلنت به همراه افزودن لثه مصنوعی برای پرکردن فضاهای خالی و بهبود زیبایی لبخند است.
جزئیات این روش درمانی:
ایمپلنت دندان:
ایمپلنت به عنوان پایهای محکم برای دندانهای جایگزین عمل میکند. این روش شامل کاشت پایه تیتانیومی در استخوان فک است که به مرور با بافت استخوانی جوش میخورد و استحکامی دائمی ایجاد میکند.
روکش ایمپلنت:
برای بازسازی تاج دندان و تطابق با سایر دندانها، روکشهای ایمپلنت با مواد باکیفیت و طراحی دقیق ساخته میشوند که هم از نظر استحکام و هم زیبایی فوقالعاده هستند.
لمینیت دندان:
لمینیت یا ونیرهای دندانی لایههای نازکی هستند که بر روی سطح دندانها قرار میگیرند تا ظاهر آنها را بهبود بخشند. این روش برای ایجاد هماهنگی رنگ، شکل و اندازه دندانها استفاده میشود.
افزودن لثه مصنوعی:
در مواردی که حجم لثه به دلیل تحلیل استخوان یا سایر مشکلات کاهش یافته باشد، از لثه مصنوعی برای پرکردن فضاهای خالی و ایجاد تناسب در لبخند استفاده میشود.
مزایای این درمان:
درمان ترکیبی ایمپلنت و لمینیت یک گزینه ایدهآل برای افرادی است که به دنبال راهحلهای جامع و موثر برای ترمیم و زیباسازی دندانهای خود هستند. در کلینیک دکتر محمد قاسمی، این روش با استفاده از جدیدترین تکنولوژیها و بهترین مواد روز دنیا انجام میشود تا بهترین نتایج برای شما به ارمغان آورده شود.



