برای شما لبخندی منحصر به فرد می سازیم | We make a unique smile for
نوبت دهی
نوبت خود را رزرو کنید
ساعت کاری
همه روزه از ساعت 11 الی 20
026-34293881
با ما تماس بگیرید
026-34293884
کرج خیابان شهید بهشتی
نبش کسری برج ولیعهدی طبقه 4
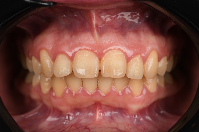
شما اینجا قرار دارید: خانه » نمونه درمان ها » بیلیچینگ دوفک -14011065
انجام بیلیچینگ دوفک جهت سفید شدن دندانها