برای شما لبخندی منحصر به فرد می سازیم | We make a unique smile for

ساعت کاری

همه روزه از ساعت 11 الی 20

026-34293881

با ما تماس بگیرید

026-34293884

با ما تماس بگیرید

کرج خیابان شهید بهشتی

نبش کسری برج ولیعهدی طبقه 4

لمینیت-981048

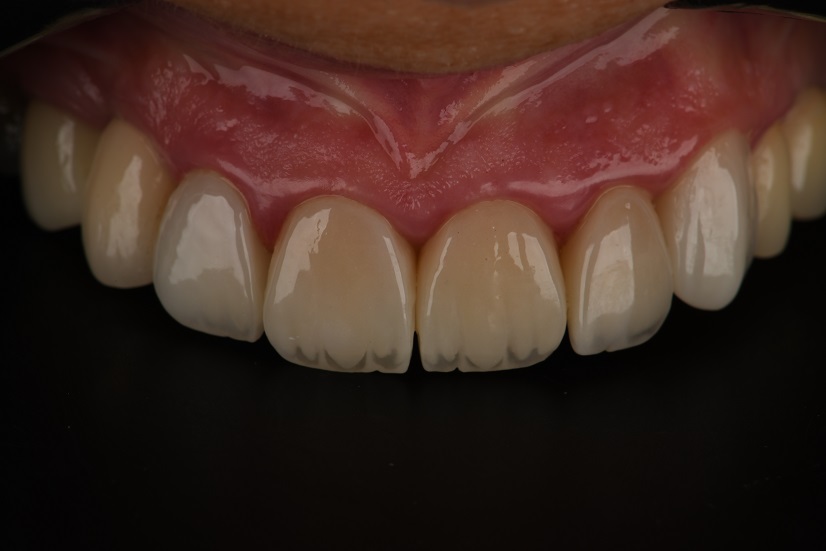
در این نمونه درمان، 5 واحد از دندان‌ها با استفاده از روکش و لمینیت‌های زیبایی اصلاح شدند. این روش برای دستیابی به لبخندی طبیعی و جذاب انجام شده است. تمامی مراحل درمان با دقت بالا و با توجه به رنگ و ساختار دندان‌های طبیعی بیمار صورت گرفته است.

ویژگی‌های این درمان:

  • استفاده از مواد با کیفیت بالا برای ایجاد رنگی طبیعی و هماهنگ با سایر دندان‌ها.
  • طراحی و اجرای لمینیت‌ها به‌گونه‌ای که تناسب و توازن در لبخند بیمار حفظ شود.
  • بهبود ظاهر دندان‌ها در کوتاه‌ترین زمان ممکن و با حداقل تهاجم.

این روش نه تنها زیبایی را به لبخند شما بازمی‌گرداند، بلکه دوام و استحکام بالایی را نیز تضمین می‌کند. برای مشاهده جزئیات بیشتر و رزرو وقت مشاوره با ما تماس بگیرید.

قبل درمان

بعد درمان